Mężczyzna stracił pół wątroby. Powodem był surowy przysmak rybny - sałatka yusheng

55-latek zjadł lokalny przysmak, w wyniku czego zakaził się pasożytem przywry chińskiej. Lekarze musieli mu usunąć pół wątroby.

Pasożyt zaatakował wątrobęPasożyt zaatakował wątrobę
Źródło zdjęć: © East News

Ropień na wątrobie

Zanim 55-latek zgłosił się do szpitala - upłynęły cztery miesiące. Przez cały ten czas mężczyzna miał niepokojące objawy, objawy takie jak ból brzucha, biegunka oraz utrata apetytu.

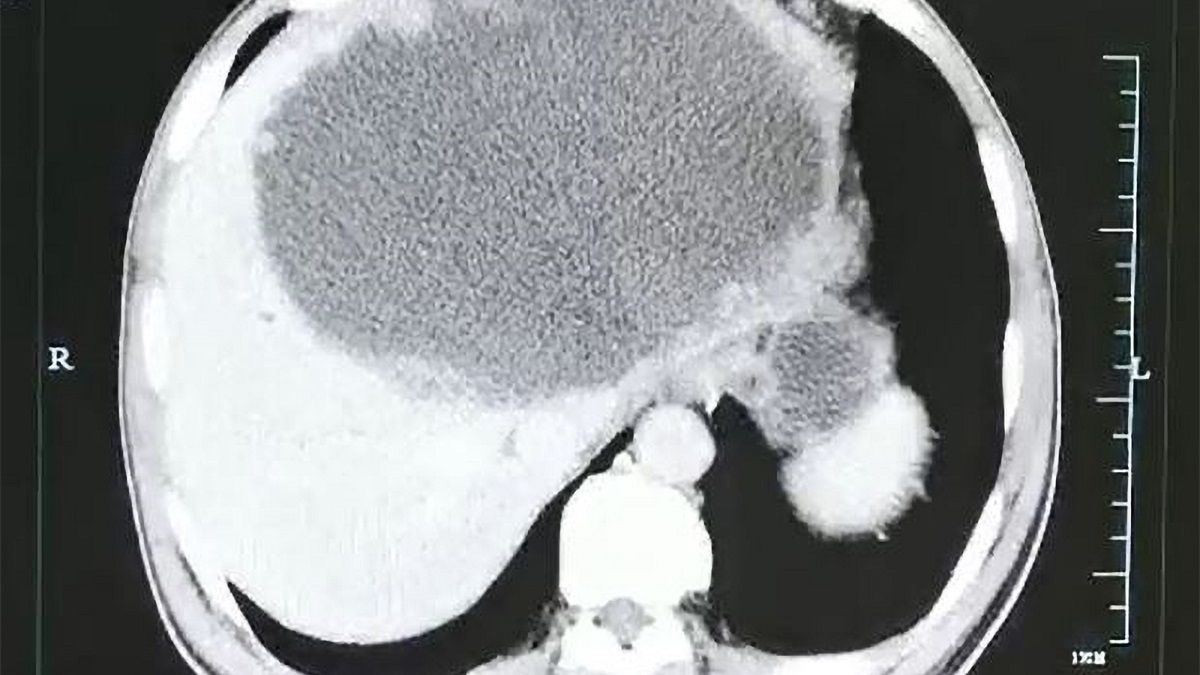
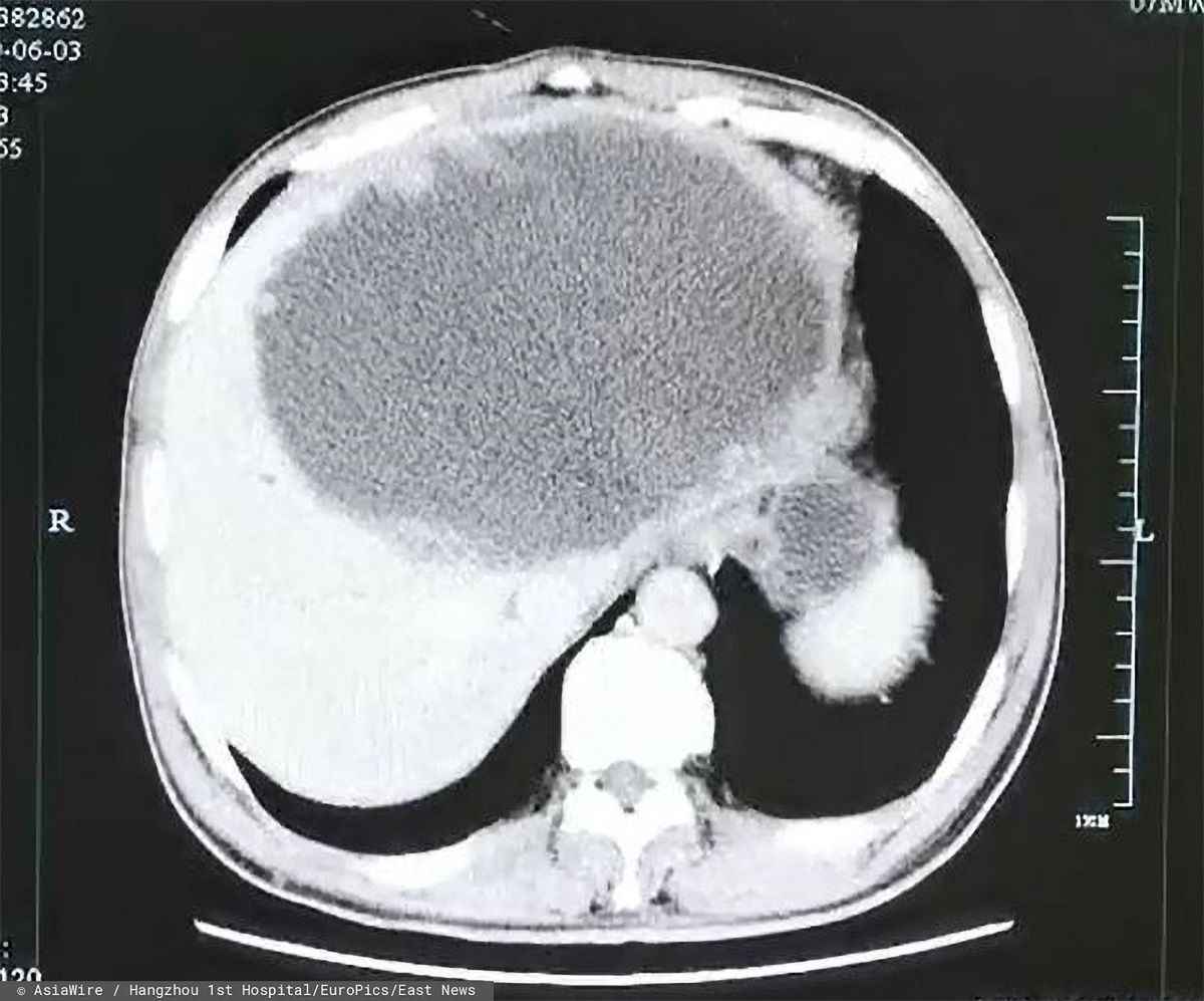
Kiedy lekarze z First People's Hospital w Hangzhou w Chinach w końcu wykonali mężczyźnie tomografię komputerową, byli mocno zdziwieni. Wykazała ona ropień o długości 19 cm oraz szerokości 18 cm w lewym płacie wątroby pacjenta. Poza tym na ścianach ropnia zaczęły rosnąć guzy.

Początkowo lekarze usunęli mężczyźnie ropień. Jednak trzy tygodnie po operacji na wątrobie wciąż były widoczne zmiany.

Uważaj na te ryby. Mogą mieć pasożyty

Ropień na wątrobie
Ropień na wątrobie © East News

Zobacz także: Badania pokazały, że ma na wątrobie guz wielkości grejpfruta. Po operacji okazało się, że to nie rak, a pasożyt

Pasożyt zaatakował wątrobę

Konieczna okazała się kolejna operacja. W końcu lekarze usunęli mężczyźnie pół wątroby. Późniejsze badania wykazały, że obumarła tkanka wyciętego organu miała "niezliczone jaja pasożytów".

Jaja pasożyty na wątrobie
Jaja pasożyty na wątrobie © East News

Ostatecznie lekarze zdiagnozowali u mężczyzny klonorchozę. Tę chorobę wywołują pasożyty o nazwie przywra chińska (Clonorchis sinensis). Jak się okazało - mężczyzna jadł yusheng – sałatkę z surowej ryby w stylu kantońskim. Ta lokalna potrawa zwykle składa się z pasków surowej ryby zmieszanych z rozdrobnionymi warzywami oraz różnymi sosami i przyprawami. W ten sposób jaja przywry dostały się do przewodu pokarmowego, a następnie zaatakowały wątrobę 55-latka.

Sałatka yusheng
Sałatka yusheng © 123RF

Jak dotąd występowanie przywry chińskiej odnotowano u 34 gatunków ryb zaliczanych do rodzin: karpiowatych, babkowatych, błędnikowatych, łososiowatych i okoniowatych. Na całym świecie na klonorchozę choruje od 10 do nawet 20 mln ludzi.

Zobacz także: Myślała, że ma torbiel na jajniku. To był niewykryty bliźniak pasożytniczy

Masz newsa, zdjęcie lub filmik? Prześlij nam przez dziejesie.wp.pl

Treści w naszych serwisach służą celom informacyjno-edukacyjnym i nie zastępują konsultacji lekarskiej. Przed podjęciem decyzji zdrowotnych skonsultuj się ze specjalistą.

Źródło artykułu: WP abcZdrowie
Wybrane dla Ciebie
Kluczowy w diecie seniorów. Bogactwo białka, wapnia i cennych witamin
Kluczowy w diecie seniorów. Bogactwo białka, wapnia i cennych witamin
U Niemców zakazana, w Polsce legalna. Takie są skutki jej spożycia
U Niemców zakazana, w Polsce legalna. Takie są skutki jej spożycia
Sezam wycofany z obrotu. Wykryto w nim Salmonellę
Sezam wycofany z obrotu. Wykryto w nim Salmonellę
Ranking ketchupów 2025. "Niska zawartość pomidorów"
Ranking ketchupów 2025. "Niska zawartość pomidorów"
Najgorszy dodatek do jarzynowej. Zrezygnuj nawet w Wielkanoc
Najgorszy dodatek do jarzynowej. Zrezygnuj nawet w Wielkanoc
Najlepsze wśród mięs. Tylko takie kupuj na święta wielkanocne
Najlepsze wśród mięs. Tylko takie kupuj na święta wielkanocne
Naukowcy odkryli nowe działanie kefiru. To nadzieja dla chorych
Naukowcy odkryli nowe działanie kefiru. To nadzieja dla chorych
Sprzyjają demencji i pogarszają pamięć. Te produkty są wrogami mózgu
Sprzyjają demencji i pogarszają pamięć. Te produkty są wrogami mózgu
Jakie znaczenie ma kolor skorupki jajka? Niektórzy będą zdziwieni
Jakie znaczenie ma kolor skorupki jajka? Niektórzy będą zdziwieni
Choć mają złą opinie, otulą serce. Kardiolog wskazuje 5 produktów
Choć mają złą opinie, otulą serce. Kardiolog wskazuje 5 produktów
Zbadali w laboratorium paprykę z Biedronki i z Lidla. Oto, co wykryli
Zbadali w laboratorium paprykę z Biedronki i z Lidla. Oto, co wykryli
Będzie towarem luksusowym. Fatalne prognozy dla...ziemniaka
Będzie towarem luksusowym. Fatalne prognozy dla...ziemniaka